Fillings

Dental fillings restore teeth damaged by decay or fractures. Modern filling materials offer durable, natural-looking results, including tooth-colored composite resins and advanced cementable materials. These options provide strong, effective restorations while preserving the appearance and function of your natural teeth.

Dental Hygiene

Dental hygiene focuses on routine cleanings and preventive care to maintain healthy teeth and gums. Our hygienists customize each visit based on your periodontal health, using ultrasonic and hand scaling techniques, along with medicated gels or prescription rinses when needed, to ensure a comfortable and effective cleaning.

Veneers

Veneers are thin shells placed on the front surface of teeth to enhance their appearance. Available in ceramic or resin-based materials, veneers improve shape, color, and overall smile aesthetics. With proper care, they provide long-lasting results and increased confidence.

Crowns

Dental crowns restore teeth that are severely damaged, decayed, or treated with root canals. They are also used to replace missing teeth on dental implants. Modern crowns are crafted from high-strength ceramic or porcelain, offering durability, natural aesthetics, and long-lasting confidence with proper care.

Implants

Dental implants are a conservative and reliable solution for replacing missing teeth. Biocompatible posts are placed in the jawbone to replace tooth roots, providing a strong foundation for natural-looking restorations. Implants offer excellent stability, durability, and function, allowing replacement teeth to look and feel like natural teeth.

Whitening

Professional teeth whitening helps brighten your smile safely and effectively. In-office treatments provide fast, noticeable results in a single visit. While over-the-counter options are available, dentist-supervised whitening delivers stronger, longer-lasting results for a whiter, more confident smile.

Bridges

Dental bridges replace one or more missing teeth when healthy teeth are present on both sides of the gap. Available in gold, porcelain-fused-to-metal, or metal-free porcelain, bridges restore function, improve appearance, and provide long-lasting results with proper care.

Root Canal

Root canal therapy treats teeth with inflamed or infected pulp caused by deep decay, cracks, or repeated dental procedures. This treatment removes infection, relieves pain, and preserves the natural tooth. With proper care, a treated tooth can function normally for many years.

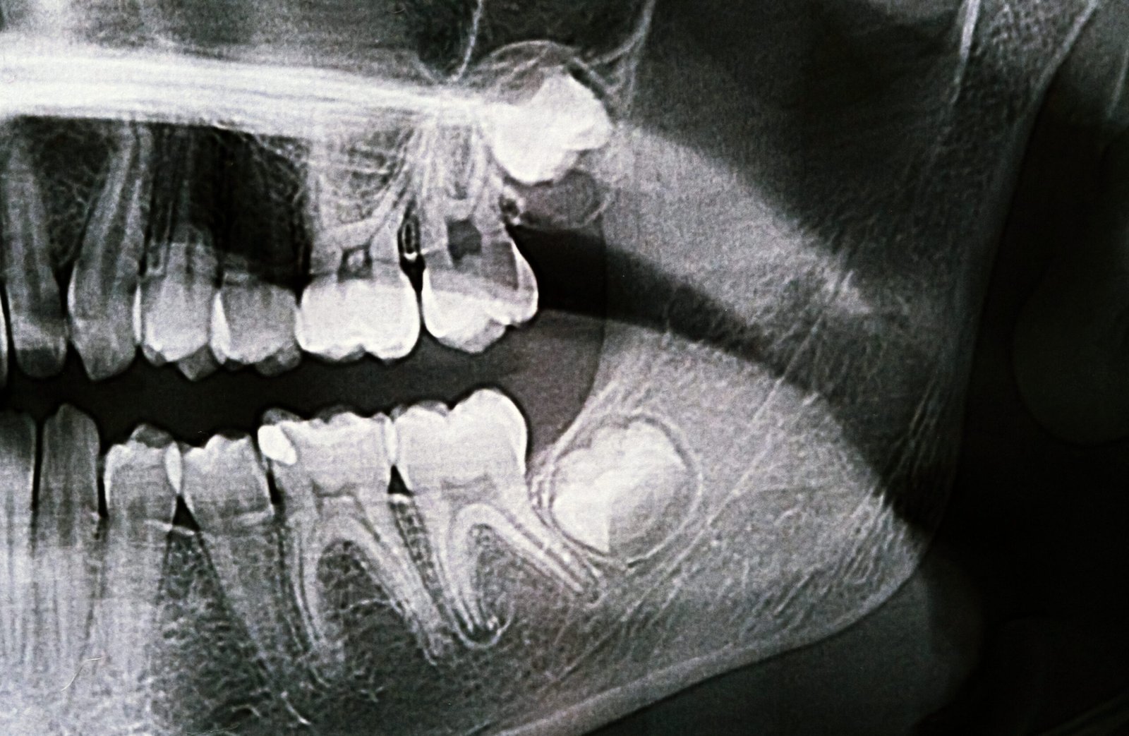
Oral Surgery

Wisdom teeth are the last molars to erupt and often lack enough space to grow properly. Impacted wisdom teeth can cause pain, swelling, decay, gum disease, and damage to nearby teeth. Early evaluation and removal help prevent complications and protect long-term oral health.

Dentures

Dentures replace missing teeth to restore your smile, facial support, and the ability to eat and speak comfortably. They help prevent facial sagging and improve overall appearance. Proper daily care and regular dental checkups ensure a healthy fit, comfort, and long-lasting results.

Periodontics

Periodontics focuses on the prevention and treatment of gum disease caused by plaque buildup. If untreated, gum disease can lead to inflammation, bleeding, pocket formation, and bone loss. Early diagnosis and periodontal care help protect the gums, teeth, and supporting structures.

Clear Aligner Therapy

Clear aligners offer a discreet, comfortable alternative to metal braces. Using a series of custom, removable trays, aligners gradually straighten teeth without wires or brackets. This treatment improves smile aesthetics, bite function, and overall oral health while fitting easily into your daily lifestyle.

tooth-1

Dental Hygiene

Dental hygiene focuses on routine cleanings and preventive care to maintain healthy teeth and gums. Our hygienists customize each visit based on your periodontal health, using ultrasonic and hand scaling techniques, along with medicated gels or prescription rinses when needed, to ensure a comfortable and effective cleaning.
Fillings

Fillings

Dental fillings restore teeth damaged by decay or fractures. Modern filling materials offer durable, natural-looking results, including tooth-colored composite resins and advanced cementable materials. These options provide strong, effective restorations while preserving the appearance and function of your natural teeth.
Veneers

Veneers

Veneers are thin shells placed on the front surface of teeth to enhance their appearance. Available in ceramic or resin-based materials, veneers improve shape, color, and overall smile aesthetics. With proper care, they provide long-lasting results and increased confidence.
Crowns

Crowns

Dental crowns restore teeth that are severely damaged, decayed, or treated with root canals. They are also used to replace missing teeth on dental implants. Modern crowns are crafted from high-strength ceramic or porcelain, offering durability, natural aesthetics, and long-lasting confidence with proper care.
tooth-4

Implants

Dental implants are a conservative and reliable solution for replacing missing teeth. Biocompatible posts are placed in the jawbone to replace tooth roots, providing a strong foundation for natural-looking restorations. Implants offer excellent stability, durability, and function, allowing replacement teeth to look and feel like natural teeth.
tooth-2

Whitening

Professional teeth whitening helps brighten your smile safely and effectively. In-office treatments provide fast, noticeable results in a single visit. While over-the-counter options are available, dentist-supervised whitening delivers stronger, longer-lasting results for a whiter, more confident smile.
Bridges

Bridges

Dental bridges replace one or more missing teeth when healthy teeth are present on both sides of the gap. Available in gold, porcelain-fused-to-metal, or metal-free porcelain, bridges restore function, improve appearance, and provide long-lasting results with proper care.
Root Canal

Root Canal

Root canal therapy treats teeth with inflamed or infected pulp caused by deep decay, cracks, or repeated dental procedures. This treatment removes infection, relieves pain, and preserves the natural tooth. With proper care, a treated tooth can function normally for many years.
Wisdom Teeth

Wisdom Teeth

Wisdom teeth are the last molars to erupt and often lack enough space to grow properly. Impacted wisdom teeth can cause pain, swelling, decay, gum disease, and damage to nearby teeth. Early evaluation and removal help prevent complications and protect long-term oral health.
tooth-3

Dentures

Dentures replace missing teeth to restore your smile, facial support, and the ability to eat and speak comfortably. They help prevent facial sagging and improve overall appearance. Proper daily care and regular dental checkups ensure a healthy fit, comfort, and long-lasting results.
Periodontics

Periodontics

Periodontics focuses on the prevention and treatment of gum disease caused by plaque buildup. If untreated, gum disease can lead to inflammation, bleeding, pocket formation, and bone loss. Early diagnosis and periodontal care help protect the gums, teeth, and supporting structures.
Clear Aligners

Clear Aligners

Clear aligners offer a discreet, comfortable alternative to metal braces. Using a series of custom, removable trays, aligners gradually straighten teeth without wires or brackets. This treatment improves smile aesthetics, bite function, and overall oral health while fitting easily into your daily lifestyle.
About Us

Welcome to JC Dental, where advanced clinical excellence meets personalized, compassionate care.
Led by Dr. Jorge O. Cordova, our family practice is grounded in over 30 years of continuous education and professional training. We combine state-of-the-art dental technology with evidence-based techniques to deliver precise, minimally invasive treatments in a comfortable, refined environment. Every treatment plan is thoughtfully tailored to your individual needs—supporting lasting oral health and enhancing your overall well-being